Реставрация с использованием отломанной части коронки постоянного зуба

В каких случаях возможна реставрация с использованием отломанной части коронки?

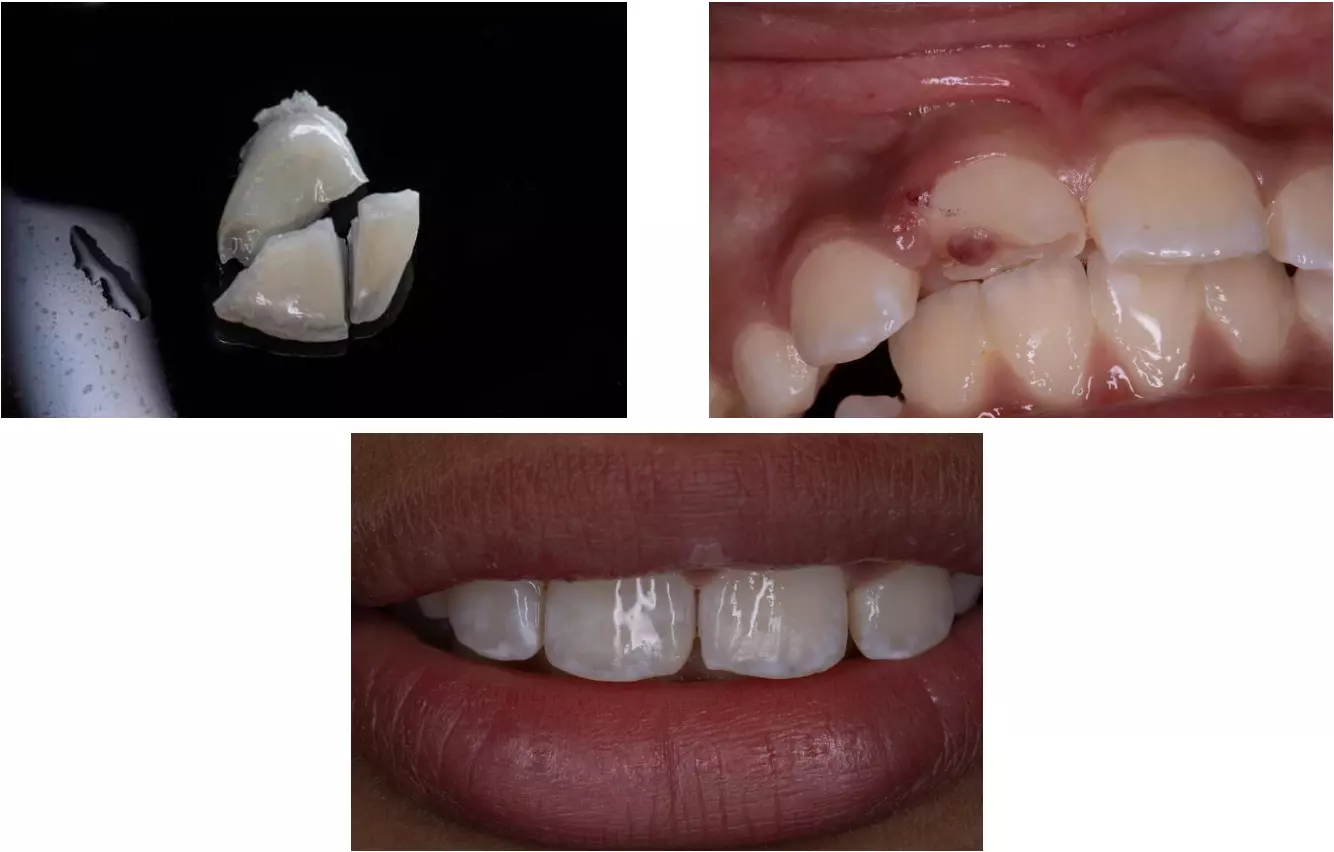
Пример восстановления зуба фрагментами после травмы

                              Пример восстановления зуба фрагментами после травмы

Есть несколько факторов, которые влияют на возможность биологического лечения травмы зуба:

  • Степень дегидратации фрагмента (потери жидкости). Эмаль зуба содержит около 1% воды в своем составе, однако, от ее количества зависит сохранение цвета фрагмента. Чем дольше фрагмент находился вне жидкой среды, тем сильнее будет дисколорит и тем меньше вероятность, что кусочек зуба приобретет свой естественный оттенок;
  • Соответствие фрагментов друг другу. Чем более ровная линия перелома, тем легче сопоставить фрагмент и коронку зуба. В таком случае их соединение с большей вероятностью будет успешным.

Также возможность интеграции фрагмента зуба зависит от степени пораженности коронки. Биологический метод применим в том случае, если у зуба не наблюдается значительной подвижности.

Преимущества биологического метода

Данная методика лечения удобна для врача и дает хорошие видимые результаты для пациента. Главным преимуществом является 100% попадание в цвет, ведь фрагмент зуба приобретает оттенок коронки через время после фиксации.

При удачной интеграции отломка биологический метод сохраняет зуб в целости на долгие годы – исследования показывают, что такая реставрация может прослужить до 7 или более лет.

Что нужно делать, чтобы фрагмент зуба можно было использовать для реставрации?

Успешность биологического метода лечения травм зубов во многом зависит от действий в первые минуты и часы после травмы. Ответственность за них ложится на плечи родителей. Если была получена травма зуба, алгоритм действий таков:

  1. Не нервничать и успокоить ребенка. Травмы часто получают дети 6-8 лет во время активных игр со сверстниками. Обычно это сопровождается болезненными ощущениями, испугом ребенка и соответствующей эмоциональной реакцией.
  2. Найти отломок зуба и обработать его. Найдите фрагмент зуба (он может быть рядом с ребенком или в его ротовой полости). Для первичной обработки подойдет бутилированная негазированная вода, физиологический раствор или хлоргексидин (эти жидкости можно найти в ближайшей аптеке).
  3. Сохраните обломок в жидкой среде. Чтобы уменьшить дегидратацию обломка, его стоит сохранять в жидкости. Для этого подойдет бутилированная вода, физиологический раствор или молоко.
  4. Поторопитесь к стоматологу. В случае с травмами зубов лучше не откладывать поездку в детскую стоматологию в Одессе в долгий ящик – это необходимо сделать в течение нескольких часов, максимум суток.

Отложенная поездка в стоматологию увеличивает вероятность того, что придется применять другие методы восстановления зуба.

Как готовят фрагмент к установке?

Подготовка фрагмента к установке зависит от клинической ситуации: формы отломка, соотношения между коронкой и фрагментом зуба. Биологический метод лечения травм зуба – работа непростая и творческая, поэтому врачи часто импровизируют при подготовке фрагмента.

Например, может быть создан скос на эмали зуба и отломке, чтобы присоединить их друг к другу, нанесены бороздки, выемки. Все это впоследствии улучшает прилипание фрагмента к тканям зуба.

Неизменной остается антисептическая обработка фрагмента – для этого используется хлоргексидин. Это антисептик, он надежно удаляет бактерии и вирусы с поверхностей, при этом не влияет на ткани так, как спирт или перекись водорода.

Как присоединяют фрагмент зуба к коронке?

Пример реставрации фрагментом зуба

Пример реставрации фрагментом зуба. Отреставрирован нижний центральный резец слева. Рентген сразу и через 12 месяцев после лечения.

Для фиксации отломка зуба используются те же материалы, что для фотополимерной пломбы.

  1. Сначала коронка и фрагмент протравливаются – для этого применяется 37% раствор ортофосфорной кислоты. Это необходимо для того, чтобы убрать микроскопические остатки твердых тканей и органики с поверхностей. Так они становятся более проницаемыми для «клея».
  2. Затем ортофосфорная кислота тщательно смывается, зуб и фрагмент высушиваются. На них наносится «клей» – праймер и адгезив. Иногда это одна жидкость с двумя компонентами. Они необходимы для того, чтобы фотополимерный композит смог «приклеиться» к коронке зуба и обломку. Адгезив засвечивается ультрафиолетовой лампой.
  3. Далее вносится фотополимерный композит – он выступит связующим звеном между осколком и коронкой зуба, компенсирует незначительные расхождения в форме краев. Это тот же материал, который используется для пломб. Он засвечивается ультрафиолетовой лампой. 

На финальном этапе доктор проверяет смыкание зубов, удаляет излишки композита, полирует поверхность зуба.

Вся работа выполняется в коффердаме (латексный платок), поэтому материалы не соприкасаются с полостью рта.

Наблюдение после фиксации отломка

Первое время вы можете отмечать, что цвет присоединенного отломка несколько отличается от цвета зуба – это происходит из-за частичной потери жидкости в эмали фрагмента. В течение 1-2 недель нахождения в полости рта фрагмент «напитается» водой и его оттенок сравняется с оттенком зуба.

Наблюдение за пациентом после биологического метода лечения травмы зуба осуществляется в течение 12-24 месяцев. Сначала врач приглашает на осмотры ребенка через 1 месяц, затем на 3, 6 и 12 месяцы. При необходимости контрольные осмотры проводятся на 18 и 24 месяц после лечения.

Во время контрольного визита врач делает прицельный рентген-снимок зуба. Травмы часто случаются в зубах, корни которых еще не закончили формирование. Рентгенологическое исследование помогает доктору убедиться – корень зуба в порядке, в пульпе или пространстве за верхушкой корня не возникли воспалительные процессы.

Лечащие врачи

Есть вопрос?
RU

Записаться на прием

Мы перезвоним вам как можно скорее и подберем удобное время для визита в клинику.