Удаление зуба мудрости в Одессе

Откуда столько проблем с «восьмерками»?

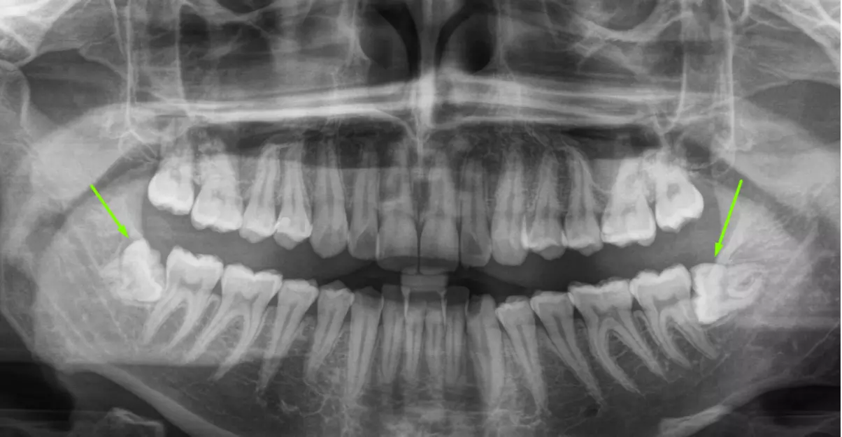
восьмерки на рентгене

Почему современные люди так мучаются с восьмыми зубами? Виною всему эволюция. Люди прошлого не знали, как обрабатывать пищу, поэтому в рационе преобладали твердые продукты. Употребление твердой пищи с детства способствует развитию жевательной мускулатуры и росту челюстей.

Постепенно, осваивая приготовление пищи на огне, люди начали переходить на более мягкую пищу. Так как современный человек употребляет обработанную и более мягкую пищу, чем предки, наши челюсти менее развиты. Да и потребности в таком количестве жевательных зубов уже нет.

Поэтому у многих людей нет места для восьмых зубов – они не могут прорезаться, растут неправильно или вовсе отсутствуют в челюсти.

Любопытный факт: стоматологи считают, что для эффективного жевания человеку в ХХІ веке достаточно всего лишь 24 зубов (вместо 32).

Показания к удалению зуба мудрости

Европейские и американские стоматологи склоняются к мысли, что само наличие восьмого зуба уже является показанием к его плановому удалению. Однако, мы убеждены: есть немало ситуаций, в которых третий моляр можно оставить.

Ключевыми показаниями к удаление восьмого зуба являются:

  • Аномальное расположение зуба – растет в сторону щеки, нёба, языка, соседнего зуба, прорезывается рядом с седьмым зубом.
  • Утрудненное прорезывание. Восьмые зубы могут прорезываться долго и мучительно для их обладателя – от нескольких месяцев до 2-3 лет. При этом активные периоды роста чередуются с «замиранием» процесса. В активной фазе зуб может болеть, появляться отечность десны в этой области, повышаться температура, возникать общая слабость. Если прорезывание длится более 1 года, это уже является показанием к удалению.
  • Регулярные перикоронариты. Третий моляр может быть накрыт слизистым клаптем, под который проникают остатки пищи. Из-за этого капюшон воспаляется.
  • Кариес и его осложнения. В большинстве случаев локализация третьего моляра такова, что лечить его невозможно.
  • Кариес соседнего зуба, вызванный близким расположением «восьмерки».
  • Отсутствие антагониста – противостоящего зуба на противоположной челюсти.
  • Травмирование десны, языка или щеки восьмым зубом во время разговора или употребления пищи.
  • Невозможность качественного очищения из-за положения зуба.
  • Возникновение гайморитов, невритов, невралгий, связанных с третьим моляром.
  • Запланированная тотальная реабилитация улыбки или ортодонтическое лечение.

Оставить восьмой зуб стоит только в том случае, если:

  • Не планируете комплексное стоматологическое лечение.
  • Растет идеально, не травмирует слизистую, не угрожает седьмому зубу.
  • Есть противостоящий зуб.
  • Доступен для осуществления домашнего ухода или лечения в случае необходимости.
  • Зуб может выступить опорой для мостовидного протеза или шины.
Удаление восьмого зуба возможно до прорезывания и после него.

Этапы удаления зуба мудрости в Одессе

Операции предшествует диагностика – доктор осматривает восьмой зуб, слушает жалобы пациента, делает прицельный снимок. Иногда этого недостаточно и стоматолог назначает компьютерную томографию или панорамный снимок. Обычно удаление зубов мудрости – плановая операция. Но если пациент поступает с острыми жалобами и настаивает на удалении, врачи NikaDent Family готовы помочь. Однако, мы всегда информируем пациентов, что это не самый оптимальный вариант. Лучше всего дождаться стихания воспаления и тогда запланировать удаление. Так как в острой его фазе воспаления анестезия наступает хуже, удаление болезненнее, а заживление – дольше. Профессиональная установка керамических виниров в нашей клиники. Вырвать зуб мудрости в Одессе можно двумя способами: обычно или атипичное удаление. Объясняем разницу.

Обычное удаление

В данном случае врач использует стандартные инструменты и удаляет прорезавшийся зуб. Технически это несложная манипуляция. Время выполнения – от 10-20 минут до 1-1,5 часов. Такая разительная разница связана с анатомией восьмых зубов: иногда зуб прорезался, но удалить его несколькими движениями не удается из-за разветвленных или изогнутых корней.

Сначала врач делает анестезию, затем, используя различные инструменты, расшатывает зуб и извлекает его. Для уменьшения травматизации доктор может распилить зуб на 2-3 части и извлечь их по отдельности.

Атипичное удаление

Подразумевается удаление атипично расположенных зубов, частично или полностью непрорезавшихся (ретинированных) третьих моляров, зубов со сложной анатомией.

Такие операции подразумевают раскрытие слизистой оболочки, надкостницы или даже самой кости челюсти для извлечения зачатка зуба. Этапы атипичного удаления восьмого зуба могут разниться в зависимости от клинической ситуации. Также при атипичном удалении зуба могут накладываться швы на слизистую оболочку.

Отметим, что подготовка к атипичному удалению третьего моляра может включать не только рентгенологическое исследование (цифровое сканирование зубов), но также общий анализ крови и анализ на сворачиваемость. Так мы убеждаемся, что у пациента не возникнет кровотечения во время операции, после нее, а заживление пройдет без осложнений.

Послеоперационный период

Первые два часа после удаления зуба рекомендуется не есть и не пить напитки, кроме воды. 2-3 дня после удаления воздержитесь от горячей еды, алкоголя, активных физических упражнений, бань или саун, горячей ванны.

Врач из cтоматологии в Одессе может дополнительно назначить обезболивающие средства, антибиотики, обработку лунки удаленного зуба – строго придерживайтесь рекомендаций. Так заживление пройдет быстро, не принося дискомфорта.

Полоскать лунку в процессе заживления ни в коем случае нельзя – так вы можете вымыть сгусток крови, необходимый для заживления, и спровоцировать инфицирование лунки.

Вопросы - ответы

Что такое атипичное удаление зуба?

Атипичное удаление зуба — это сложная хирургическая процедура, применяемая в случаях, когда стандартные методы удаления невозможны из-за аномального расположения или строения зуба. Такая ситуация часто возникает при удалении зубов мудрости, особенно если они ретинированы (не полностью прорезались) или дистопированы (имеют неправильное положение).

Когда необходимо удаление зубов мудрости в Одессе?

Удаление зубов мудрости рекомендуется в следующих случаях:

  • Неправильное положение зуба, приводящее к травмам слизистой оболочки щеки или языка.
  • Частичное прорезывание, создающее условия для воспаления десны (перикоронарита).
  • Развитие кариеса на зубе мудрости или соседних зубах из-за затрудненного доступа при гигиене.
  • Появление кисты или других патологических образований вокруг зуба.
  • Зуб находится в очаге новообразования.

В таких ситуациях стоматологи в Одессе рекомендуют своевременное удаление зубов мудрости для предотвращения осложнений.

Как проходит процедура атипичного удаления зуба мудрости?

Процедура атипичного удаления зуба мудрости включает следующие этапы:

  1. Диагностика: Проведение рентгенографии или компьютерной томографии для оценки положения зуба и окружающих тканей.
  2. Анестезия: Применение местной анестезии или седации для обеспечения комфорта пациента.
  3. Хирургический доступ: Разрез слизистой оболочки и, при необходимости, удаление части костной ткани для обнажения зуба.
  4. Удаление зуба: Разделение зуба на части и поэтапное их извлечение.
  5. Завершение операции: Очистка раны, ушивание слизистой и наложение стерильной повязки.

Такая методика позволяет минимизировать травматизацию тканей и ускорить процесс заживления.

Какие рекомендации следует соблюдать после удаления зуба мудрости?

После удаления зуба мудрости рекомендуется:

  • Воздержаться от приема пищи и напитков в течение 2-3 часов.
  • Избегать полоскания рта и сплевывания в первый день.
  • Прикладывать холод к щеке для уменьшения отека.
  • Избегать физических нагрузок и горячих ванн в первые сутки.
  • Соблюдать рекомендации врача по приему лекарств и уходу за раной.

Детальные инструкции предоставляет стоматолог после процедуры.

Лечащие врачи

Есть вопрос?
RU

Записаться на прием

Мы перезвоним вам как можно скорее и подберем удобное время для визита в клинику.