Лечение травмы скола эмали постоянных зубов

Причины сколов эмали

скол эмали

Сколы эмали могут образовываться по следующим причинам:

  1. Травмы. Дети и подростки ведут активный образ жизни – бегают, лазят на турниках, занимаются спортом. При падении вполне возможна травма зуба с повреждением эмали.
  2. Вредные привычки. К вредным привычкам в стоматологии относятся злоупотребление семечками (если ребенок чистит их с помощью зубов), раскалывание орехов, грызение карандаша или ручки (эта привычка часто встречается у школьников).
  3. Повышенная кислотность слюны. При гиперацидном гастрите pH слюны становится более кислой (вместо нормальной нейтральной). Это делает эмаль менее прочной, она легче поддается кариесу зубов и механическим травмам.
  4. Значительные кариозные полости. В случае глубокого острого кариеса, например, эмаль нависает над полостью, что может привести к ее отколу во время употребления пищи.
  5. Врожденные дефекты эмали. Наследственные заболевания развития эмали могут быть причиной снижения ее плотности.
  6. Травматический прикус. Прикус – это смыкание зубов. В норме верхний и нижний зубные ряды работают в синергии и не «вредят» друг другу. Некоторые нарушения прикуса приводят к разрушению зубов. К таковым относят, например, глубокий, перекрестный травматические виды прикуса.
  7. Бруксизм. Непроизвольное скрежетание зубов во сне, которое происходит из-за спазма жевательных мышц. Причинами бруксизма могут быть стрессы, аномалии прикуса, некорректное ортодонтическое лечение, проблемы с височно-нижнечелюстным суставом.
  8. Соматические патологии. Болезни щитовидной железы, сахарный диабет отрицательно сказываются на качестве твердых тканей зубов.

Некорректное стоматологическое лечение. Большие пломбы, художественные реставрации после лечения каналов увеличивают вероятность скалывания эмали.

Чаще всего скол происходит совершенно случайно – при употреблении пищи. Например, если в мягком блюде попадаются твердые косточки.

Почему скол эмали нужно устранять?

пример скола эмали

Иногда скол эмали оказывается незначительным – зачем же его лечить в таком случае? На то есть весомые причины:

  • Зуб с поврежденной эмалью может иметь острые края, которые повреждают язык и слизистую оболочку;
  • Поверхность эмали в месте травмы теряет гладкость, на нее с легкостью «налипает» налет, что провоцирует возникновение кариеса;
  • Теряется эстетика, которая особенно важна для фронтальной группы зубов;
  • При отсутствии лечения скол эмали может увеличиться. 

Поэтому даже крошечные сколы эмали у детей и подростков необходимо лечить. 

Лечение сколов эмали

Лечение сколов эмали должно начинаться с устранения причины их возникновения. Вредные привычки, бруксизм, травматический прикус – повод обратиться к ортодонту. В этих случаях назначается лечение брекетами, ношение депрограмматоров или капп.

Сколы эмали, возникающие из-за повышенной кислотности желудка или соматических патологий, требуют дополнительного ухода за полостью рта по авторским методикам. В арсенале детских стоматологов NikaDent их немало – врачи готовы бороться за зубы детей даже с непростыми диагнозами.

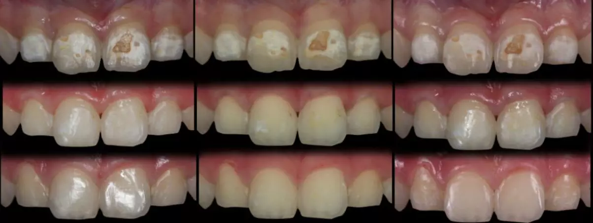
Пример лечения сколов с помощью ICON

Пример лечения сколов с помощью ICON. Причиной сколов является деминерализация эмали

Устранение же самого скола эмали может происходить по одному из следующих сценариев:

  • Реминерализация. Данный метод лечения показан в случае незначительного повреждения эмали (ее поверхностных слоев). Для этого используются фторсодержащие лаки, а процедура называется фторирование зубов;
  • ICON-терапия (лечение без бормашины). Этот способ также подходит только в том случае, если повреждение эмали затрагивает только поверхностные слои. Методика подразумевает подготовку зуба (очистка поверхности, протравливание эмали гелем с фосфорной кислотой, высушивание), нанесение инфильтрата (действующего агента) и засвечивание;
  • Реставрация композитным материалом. Более глубокие повреждения эмали обычно покрываются фотополимерной пломбой;
  • Реставрация циркониевыми коронками. Значительная потеря эмали зуба (например, в случае с врожденными дефектами твердых тканей) может быть компенсирована при помощи зубных коронок. Они устанавливаются уже в подростковом возрасте.

Если скол эмали затронул фронтальные зубы, то врачи уделяют значительное внимание восстановлению эстетики. Для этого лучше всего подходят художественные реставрации композитными материалами и циркониевые коронки.

Профилактика сколов

Избежать сколов эмали у ребенка можно, придерживаясь следующих рекомендаций;

  • Меньше быстрых углеводов и сладких напитков. Употребление такой пищи создает оптимальную среду для роста бактерий. Продукты метаболизма бактерий ослабляют эмаль, делают ее уязвимой к развитию кариеса. Значительные кариозные полости могут послужить причиной откола эмали;
  • Правильное питание. Эмаль постоянных зубов продолжает развиваться в течение нескольких лет после прорезывания. Микроэлементы поступают в нее как из слюны, так и из пульпы («зубного нерва»). Поэтому ребенок должен потреблять достаточно витаминов и минералов;
  • Соблюдение гигиены. Правильно чистить зубы и делать профчистку зубов полезно – это также уменьшает вероятность возникновения кариеса и сколов эмали в связи с ним;
  • Отказ от отбеливающих паст. К такому методу сделать зубы красивее могут прибегнуть подростки. Из-за высокой абразивности отбеливающие пасты нарушают нормальную структуру эмали, делают ее более хрупкой и чувствительной. Особенно это заметно, если использование пасты регулярное;
  • Защитные каппы для спортсменов. Если ребенок занимается контактными видами спорта, обязательно позаботьтесь о том, чтобы он надевал каппу во время каждой тренировки;
  • Отказ от вредных привычек. Нервные подростки могут грызть ручки и карандаши – от этого следует избавляться. Также необходимо отучать детей от раскалывания зубами орехов и семечек.

И, конечно же, регулярные профилактические визиты к стоматологу. Если врач будет осматривать ребенка раз в 6-12 месяцев, то он сможет своевременно выявить возможные предпосылки к отколу эмали. 

Лечащие врачи

Есть вопрос?
RU

Записаться на прием

Мы перезвоним вам как можно скорее и подберем удобное время для визита в клинику.