Лечение периодонтита зуба со сформированными верхушками корней

Периодонтит – это воспаление тканей, находящихся за верхушкой корня. Во время лечения периодонтита главная задача врача – устранить воспалительный процесс, добиться регенерации тканей, а также (если речь идет о молочных зубах) не дать инфекции распространиться на зачаток постоянного. 

Периодонтит у детей встречается довольно часто – каждый 4-5 пациент, обратившийся с осложнениями кариеса, страдает именно воспалением периодонта.

Анатомия периодонта

Анатомия периодонта

Периодонт – связка, которая удерживает зуб в лунке. Она состоит из коллагеновых волокон и клеток, которые их продуцируют. Также в периодонте присутствуют защитные клетки организма, нервные волокна, сосуды. 

Основными функциями периодонта являются: 

  • Опорная и амортизирующая. Связка удерживает зуб в лунке, когда на него возлагается жевательное давление, а также обеспечивает незначительную амортизацию. В процессе жевания зубы испытывают вертикальные и боковые нагрузки. Амортизационный эффект периодонта их компенсирует;
  • Питательная. В периодонте находятся собственные кровеносные, лимфатические сосуды. Давление, прилагаемое к зубу в процессе жевания, передается на связку, благодаря чему активируется кровоснабжение не только периодонта, но и костной ткани вокруг. Так улучшается питание этого участка;
  • Рефлекторная и чувствительная. Нервные волокна периодонта преимущественно воспринимают давление. Если оно избыточное, осуществляется регуляция акта жевания;
  • Защитная. Связка зуба защищает окружающие ткани от проникновения инфекции из пульпы зуба, принимая удар на себя. 

Объем связки зуба варьируется в зависимости от стадии развития корня. Сначала (когда корень развивается) периодонт широкий, с развитием корня он сужается.

Причины периодонтита

Причины периодонтита

Есть три наиболее частые причины возникновения периодонтита:

  • Периодонтит, как осложнение кариеса зубов. Нелеченный кариес молочных и постоянных зубов сначала становится причиной пульпита (воспаления “зубного нерва”). Пульпит может дать слабую симптоматику или проходить бессимптомно, в связи с чем родители не всегда обращаются к стоматологу. Через какое-то время инфекция из пульпы переходит на периодонтальную связку;
  • Периодонтит после лечения пульпита. Пропущенные во время лечения каналы, недостаточная обработка каналов инструментами и антисептиками, ошибки пломбирования приводят к тому, что в корнях зубов остается инфекция. Медленно она продвигается к периодонту. Периодонтит после лечения каналов обычно хронический, возникает в течение месяцев или даже годов;
  • Травма зуба. Каждый третий случай хронического периодонтита связан именно с травмой. У детей может быть полный или неполный вывих зуба, вследствие которых травмируется связка зуба. 

Также периодонтиты могут быть связаны с воздействием химических веществ во время лечения пульпита.

Виды и симптомы периодонтита

Как и любой воспалительный процесс, периодонтит может быть острым и хроническим. Течение и частота тех или иных форм в молочном и постоянном прикусе разнятся.

Периодонтит молочных зубов

В детском возрасте чаще всего встречаются хронические формы периодонтитов и их обострения без острой фазы. Причиной тому – нестабильная структура тканей периодонта у детей.

Самым частым “гостем” у малышей является гранулирующий периодонтит. Обычно заболевание протекает бессимптомно, распознать его можно по таким признакам: 

  • Наличие свища на десне в области корня зуба. Это характерный симптом гранулирующего периодонтита. Из свища может выделяться гной;
  • Глубокая кариозная полость. Обычно дети жалуются на застревание еды в зубе;
  • Изменение цвета зуба. Из-за гибели пульпы зуб может приобрести сероватый оттенок;
  • Изменения цвета десны. Иногда десна в области пораженного зуба становится синеватой и отекшей. 

На втором месте по частоте – обострение хронического периодонтита. Обычно оно возникает на фоне снижения иммунитета (переохлаждение, ОРВИ, болезни органов). В таком случае дети жалуются на непрекращающуюся ноющую боль, которая усиливается при накусывании. Болеть может и десна рядом с зубом. Дети нередко отказываются от еды или начинают есть только на одну сторону. Могут появляться слабость, головные боли, нарушения сна. 

Острые периодонтиты у детей обычно могут быть: 

  • Как следствие острого гнойного пульпита;
  • В результате травмы. 

При острых периодонтитах дети жалуются на пульсирующую сильную боль, особенно при нажатии на зуб. Иногда к нему невозможно прикоснуться.

Периодонтит постоянных зубов

У подростков, корни зубов которых уже закончили формироваться, может возникать гранулематозный периодонтит. Подростки жалуются на изменение цвета зуба, неприятные ощущения при накусывании. Зуб может быть покрыт большой пломбой или иметь пролеченные каналы. 

Острые периодонтиты у подростков возникают, как следствие пульпита или травмы. В первом случае зуб имеет обширную кариозную полость, которая соединяется с пульпой, или был лечен ранее. Во втором случае зуб может быть без кариеса, но с поврежденной коронкой. 

При остром периодонтите подростки жалуются на боль при накусывании, непрекращающуюся ноющую боль. Иногда кажется, что болит все лицо с пораженной стороны, возникает подвижность зуба (из-за гноя в периодонте).

Диагностика периодонтита

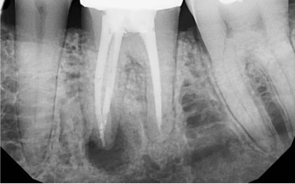
Круглый очаг поражения на верхушке зуба

              Круглый очаг поражения на верхушке зуба — гранулема при периодонтите

Чтобы диагностировать периодонтит, врач: 

  • Проводит осмотр ротовой полости и опрос пациента (и его родителей). Стоматолог тщательно обследует зуб: проверяет его подвижность, реакцию на постукивание (перкуссию). При периодонтите она болезненная. Обязательно оценивается состояние десны;
  • Выполняет прицельный снимок зуба. Хронические периодонтиты имеют яркую рентгенологическую картину. Снимок позволяет убедиться, что зачаток постоянного зуба не поврежден (если периодонтит в молочном зуба). Потом его фиксируют в истории болезни. 

После постановки диагноза врач приступает к лечению.

Как лечат периодонтит в зубах со сформированной верхушкой?

При остром гнойном периодонтите врач обеспечивает отток гноя из зуба и оставляет его открытым на 1-2 дня. После этого осуществляется пломбирование каналов

В случае с хроническими периодонтитами сначала каналы очищаются от остатков пульпы или пломбировочного материала, закладывается лекарственное средство. Обычно стоматологи детской клиники NikaDent выбирают препараты на основе гидроксида кальция. Это вещество имеет щелочную pH, которая губительна для бактерий. Лекарство остается на 2-3 недели (или более), после чего каналы пломбируются.

В каких случаях периодонтит не подлежит лечению?

К сожалению, бывают ситуации, в которых лечение периодонтита невозможно: 

  • В процесс вовлечен зачаток постоянного зуба. Периодонтит молочных зубов может “перейти” на несформировавшийся постоянный зуб. Чтобы он продолжил нормально развиваться, источник инфекции удаляется;
  • Многократные безуспешные попытки лечения;
  • Зуб стал причиной обширного периостита или остеомиелита. Острые периодонтиты могут переходить на костную ткань вокруг – в таком случае зуб удаляется. 

Отчаиваться не стоит – в большинстве случаев периодонтит удается вылечить и зуб сохраняется.

Наблюдение после лечения

После лечения периодонтита врач может наблюдать за зубом в течение нескольких лет. Это удобно делать во время профилактических визитов на профессиональную чистку зубов. Стоматолог посмотрит зуб, сделает контрольный рентген-снимок и убедится, что все в порядке.

Лечащие врачи

Есть вопрос?

RU

Записаться на прием

Мы перезвоним вам как можно скорее и подберем удобное время для визита в клинику.