Лечение кариеса у детей без бормашины

Что такое ICON? В каких случаях он используется?

ICON – это система для микроинвазивного лечения кариеса. Айкон разработан и запатентован немецкой фармацевтической компанией DMG. На сегодняшний день аналогов этого средства не существует. 

Кариес зубов возникает вследствие выделения бактериями органических кислот на эмали зубов. Микроорганизмы находятся на зубах постоянно – в составе налета. Если гигиена недостаточно тщательная, кислоты могут повредить структуру эмали. 

На ранних этапах кариес еще не проявляется в виде полости: он выглядит, как белое пятно. Это связано с тем, что коэффициент преломления здоровой и пораженной эмали отличаются. С течением времени пятно может приобрести коричневатый оттенок из-за напитывания эмали красителями из пищи.

типы кариеса

Методика Айкон работает в том случае, когда кариес затронул эмаль зуба и, возможно, лишь незначительно нарушил структуру дентина. Это называется начальный и поверхностный кариес. Конечно, когда кариозная полость уже распространилась на дентин, микроинвазивное лечение кариеса невозможно. 

Основывается действие препарата на том, что ICON глубоко проникает в эмаль и закупоривает инфекции пути дальнейшего продвижения. Осуществляется инфильтрация (заполнение) структур эмали и дентина смолой, из которой состоит ICON. Это не дает бактериям и продуктам их жизнедеятельности продвигаться дальше. 

Использовать лечение кариеса системой Айкон можно в таких ситуациях: 

  • Кариес на вестибулярной поверхности. Чаще всего стоматологи применяют эту технологию, когда кариозное пятно располагается на “наружной” (она же вестибулярная) поверхности зуба. Тут важно не только прекратить продвижение инфекции, но и восстановить природный цвет зубов. Компоненты Айкон имеют такой же коэффициент преломления, как и здоровая эмаль, поэтому белые пятна полностью исчезают или становятся менее заметными;
  • Кариес на контактных поверхностях. Такой вид кариеса – не редкость у подростков, так как не у всех хорошо налажена гигиена полости рта. Остатки пищи застревают между зубами, а тонкая эмаль этого участка быстро разрушается из-за бактерий. Диагностировать его можно при помощи рентгена зубов (визиографии). 

Также ICON иногда применяется для терапии флюороза – он тоже проявляется белыми пятнами или полосками на зубах. Флюороз связан с избыточным поступлением фтора в организм ребенка, когда его постоянные зубы находятся в стадии формирования.

Преимущества системы ICON

лечение кариеса без бормашины Такой вид лечения имеет ряд сильных сторон: 
  • Процедура абсолютно безболезненная. Для лечения кариеса без бормашины не требуется ни анестезия, ни седация;
  • Лечение максимально щадящее к тканям зуба. Все ткани вокруг кариозной полости сохраняются, то же можно сказать и об анатомии зуба – она остается неизменной;
  • Эффективное лечение всего за одну встречу с доктором. Клинические испытания проводились в Германии, Дании, Колумбии. Полученные результаты говорят о клинической ценности метода;
  • Быстрое лечение. Сеанс терапии одного зуба при помощи ICON длится не более 15-20 минут;
  • Восстанавливается природный цвет зубов. Белые пятна могут выглядеть неэстетично, особенно это важно для подростков;
  • “Консервация” кариозного процесса. При надлежащем дальнейшем уходе за полостью рта кариес прекращает прогрессировать и кариозное повреждение восстанавливается. 
Этот метод применяется не только в детской стоматологии NikaDent в Одессе , но и терапии кариеса у взрослых.

Как проводится лечение зубов без бормашины?

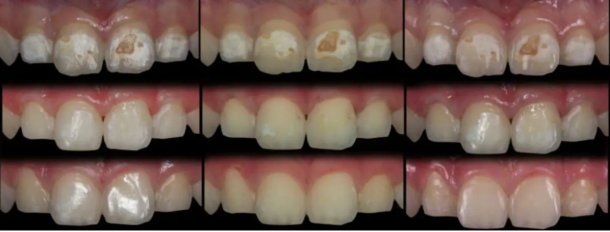
Пример лечения с помощью системы ICON

                                             Пример лечения с помощью системы ICON

Лечение при помощи технологии Айкон проводится в несколько этапов: 

  1. Санация ротовой полости. Прежде чем начинать лечить кариес, необходимо создать благоприятную гигиеническую обстановку. Во время процедуры профессиональной чистки врач убирает налет, зубные камни, а потом обучает правильной чистке зубов
  2. Установка коффердама. Обычно лечение проводится в коффердаме – это латексный платок, который изолирует зубы от полости рта. Благодаря этому и врачу, и пациенту легче проводить процедуру. 
  3. Протравка эмали. Пугаться этого термина не стоит. Процесс протравливания необходим для того, чтобы убрать рыхлую эмаль. Когда слой рыхлой эмали отсутствует, открываются “канальцы”, которые заполнятся смолой ICON. 
  4. Высушивание зуба. Для высушивания применяется раствор, входящий в комплект ICON. Оно необходимо для того, чтобы молекулы воды не мешали лекарственному средству проникать вглубь тканей зуба и прилипать к ним. 
  5. Покрытие эмали инфильтратом (основным компонентом) Айкон. Финальным этапом является нанесение геля ICON. 
  6. Полимеризация. Чтобы средство ICON зафиксировалось в зубе, его необходимо “засветить”, как обычную фотополимерную пломбу
  7. Полировка. При помощи полировочных резинок и паст врачи добиваются натурального блеска восстановленной после лечения эмали. 

Если пятно давнее и слой рыхлой эмали был значительным, врач может повторить четвертый и пятый этапы несколько раз.

ICON или серебрение?

Ранее распространенным методом борьбы с кариесом было серебрение. Во время процедуры на зубы наносился раствор нитрата серебра. Врачи объясняли это тем, что ионы серебра должны противодействовать бактериям, вызывающим кариес. 

Однако, современные детские стоматологи выступают против серебрения. 

  1. Данная процедура помогает только в том случае, если кариозное пятно появилось совсем недавно. Чем больше времени прошло с момента его появления, тем глубже на самом деле уходит разрушение эмали. Если же в процесс уже серьезно вовлечена эмаль, то серебрение не поможет. 
  2. Лекарство портит внешний вид зубов. Вы наверняка видели детей с черными передними зубами – это результат серебрения. С течением времени это никуда не девается. 
  3. Нитрат серебра может стать причиной аллергической реакции. Некоторые дети чувствительны к компонентам препарата.

Главным же недостатком является то, что в 90% случаев серебрение не оправдывает ожидания. Оно не срабатывает должным образом, поэтому через время ребенок возвращается уже с жалобами на средний или глубокий кариес

Поэтому, если вы обнаружили у своего ребенка меловое пятно на зубах, стоит предпочесть методику ICON, которая уже доказала свою эффективность и является эстетичной.

Лечащие врачи

Есть вопрос?
RU

Записаться на прием

Мы перезвоним вам как можно скорее и подберем удобное время для визита в клинику.