Установка съемного аппарата

Виды съемных ортодонтических аппаратов

Съемные аппараты на сегодняшний день используются для нормализации функции жевания, устранения вредных ортодонтических привычек, исправления прикуса или подготовки к более основательному ортодонтическому лечению. 

Чаще всего ортодонты назначают такие съемные аппараты: трейнеры, каппы и пластинки.

Трейнеры

apparat

Это съемные конструкции из силикона или полиуретана. Трейнеры помогают:

  • Разгрузить жевательные мышцы;
  • Снять нагрузку с височно-нижнечелюстного сустава;
  • Отучить ребенка от вредной привычки сосать палец или прокладывать язык;
  • Устранить аномалии прикуса в начальной стадии;
  • Исключить неправильное глотание;
  • Исправить логопедические аномалии;
  • Подготовить к ортодонтическому лечению;
  • Усилить действие брекет-системы;
  • Убрать бруксизм (скрежетание зубами). 

Для назначения трейнеров врачу не нужно делать оттиск и заказывать аппарат в лаборатории – трейнеры универсальные и продаются в магазине.  

В зависимости от назначения они могут быть начальными (мягкие эластичные аппараты, которые предназначены для адаптации ребенка к ношению трейнера), завершающие (более жесткие, они применяются во второй половине лечения), ретейнеры (закрепляют эффект проведенного лечения). 

Трейнеры могут назначаться для малышей даже 2-5 лет, однако, обычно их применяют для терапии аномалий прикуса у детей 5-10 лет. В зависимости от сложности аномалии врач расписывает схему лечения. Суть его состоит в том, чтобы носить трейнер определенное количество времени в течение дня. Сначала это может быть 1-1,5 часа, на основной и завершающей стадии лечения – 12-15 часов в сутки.

Каппы

каппы

Под каппами в ортодонтии могут подразумеваться ретенционные каппы и элайнеры. Ретенционные каппы назначаются стоматологом по завершению лечения брекетами. Они изготавливаются из тонкой прозрачной пластмассы и предназначены для ночного ношения. Совместно с ретейнерами (тонкой проволокой, которая клеится на зубы) каппы помогают зафиксировать результат ортодонтического лечения. 

Элайнеры – это технология коррекции прикуса при помощи прозрачных пластмассовых капп. В зависимости от клинического случая пациенту прописывается определенное количество капп, каждую из которых следует носить несколько недель. Хотя многие пациенты считают каппы более удобными и менее заметными, они не подходят для лечения сложных аномалий прикуса, а вероятность рецидива после них заметно выше.

Пластиночные аппараты

Пластиночные аппараты

Ортодонтические пластины – самый широко известный вид съемных аппаратов. Они могут применяться для детей уже с 8-9 лет. Существует несколько механизмов действий съемных аппаратов, соответственно, они могут применяться в разных клинических случаях.

Как действуют съемные аппараты

Различают три вида ортодонтических аппаратов по механизму действия: функциональные, механические и комбинированные.

Функциональные

Они также называются пассивными, так как сам аппарат не оказывает механического воздействия на зубные ряды. Пассивные аппараты действуют за счет перераспределения действия мышц. На зубные ряды непрерывно оказывают влияние мимические и язычные мышцы. Дисбаланс сил в этой системе может приводить к нарушениям прикуса. Наиболее актуальными данные аппараты являются в молочном или раннем сменном прикусе, то есть до 5-7 лет.

                                                              Вестибулярная пластинка

Различают действующие и направляющие функциональные аппараты. К действующим относятся вестибулярные пластинки и трейнеры (которые описывались выше). Они мало влияют напрямую на зубы и больше работают с мышцами.

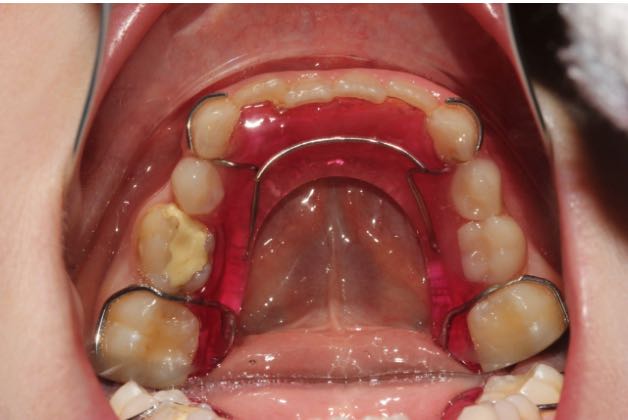
                                                      Аппарат с накусочной площадкой

Направляющие функциональные аппараты в большей мере воздействуют на отдельные зубы и зубные ряды. По мнению разработчиков, функционально-направляющие аппараты заставляют пародонт (ткани вокруг зуба) адаптироваться к новым нагрузкам – за счет этого происходят смещения зубов в нужном направлении. К ним относятся различные каппы, пластинки с накусочной площадкой, наклонной плоскостью.

 

Механические

Механические

Данный вид аппаратов действует за счет сил, заложенных в него самого, и никак не зависят от действия жевательных мышц. Сила аппарата реализуется за счет винтов, пружин или дуг.

Комбинированные

Комбинированные

Большинство ортодонтических аппаратов относят именно к этой группе – они содержат в себе элементы как механического, так и функционального действия.

Преимущества и недостатки съемных аппаратов

Съемные аппараты хороши, потому что: 

  • Можно использовать для детей с 5-6 лет или ранее;
  • Помогают избежать аномалий прикуса в будущем или подготовить к ортодонтическому лечению брекетами;
  • Гипоаллергенность материалов;
  • Огромный выбор дизайнов – ребенок может выбрать цвет или даже наклейку внутри пластинки;
  • Высокая доступность лечения;
  • Возможность полноценной и правильной чистки зубов, а также очищения аппарата от налета. 

Не обошлось и без недостатков съемных аппаратов: 

  • Перемещение зубов простое и ограниченное, из-за чего невозможно осуществление сложного или высокоточного лечения;
  • Проблемы с дикцией при ношении;
  • Длительное привыкание к аппарату у ребенка;
  • Меньшая эффективность и больший срок лечения по сравнению с несъемными. 

Однако, самым большим минусом съемных аппаратов является то, что ребенок может самостоятельно решать, когда он надевает, а когда снимает аппарат. Ортодонтическое лечение такими конструкциями требует максимальной вовлеченности родителей ребенка, их каждодневного внимания к этому процессу.  

Особенно высок риск прекращения лечения в первые недели после его начала. Пластинка начинает действовать на зубные ряды, ребенок испытывает дискомфорт, а родители дают слабину, разрешая не носить ее какое-то время.

Как делают съемные ортодонтические аппараты?

Сначала врач проводит осмотр полости рта и опрос пациента, его родителей. Также детский стоматолог может провести различные пробы для уточнения диагноза, назначить ортопантомограмму (рентген-снимок двух зубных рядов), телерентгенограмму или другие исследования. Если диагноз «банальный», то его ортодонт устанавливает во время диагностического приема. Но иногда установление правильного диагноза требует дополнительного времени и переносится на следующий визит.  Ко второму визиту доктор обычно уже имеет готовый диагноз и расписанный детально план лечения. Родителям необходимо с ним ознакомиться, задать интересующие вопросы и согласиться, если никаких возражений нет.  Такие аппараты, как вестибулярные пластинки или трейнеры можно купить в магазине – врач рассказывает, какой трейнер нужно заказать и как носить.  Пластины изготавливаются индивидуально в лаборатории. Врач снимает оттиски с челюстей, уточняет у ребенка дизайн и отправляет техникам. К следующему визиту аппарат готов. Ортодонт рассказывает, как им пользоваться, и назначает контрольные визиты.

Альтернативы съемным аппаратам

Аппарат Марко-Росса                                                                  Аппарат Марко-Росса

Съемные аппараты в детской стоматологиив Одессе NikaDent используются примерно в 30% случаев. Для самых маленьких могут назначаться трейнеры. Детям 7-9 лет возможна установка несъемных аппаратов (например, Марко-Росса) или частичной брекет-системы по методике «4+2».

Лечащие врачи

Есть вопрос?
RU

Записаться на прием

Мы перезвоним вам как можно скорее и подберем удобное время для визита в клинику.