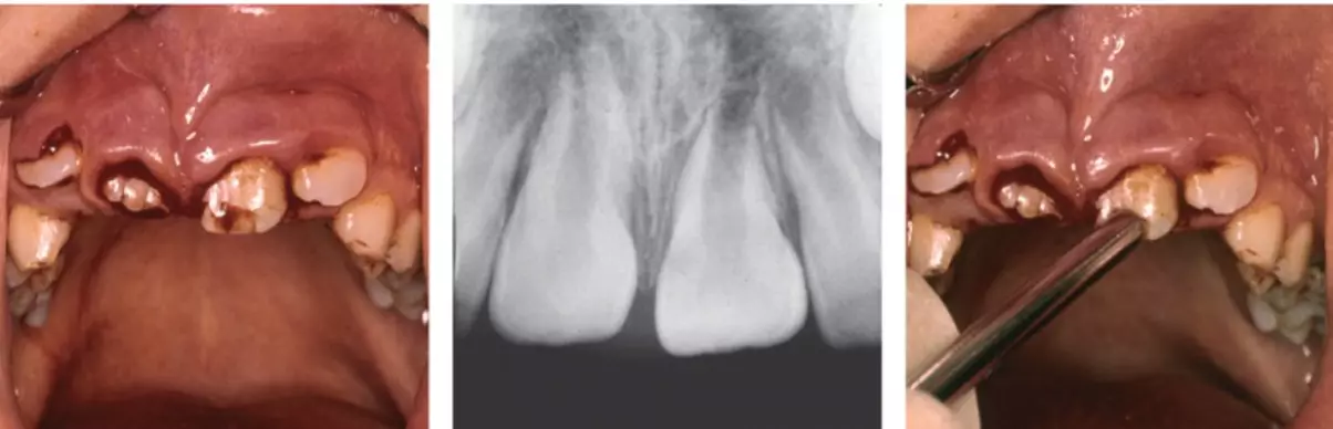
Лечение травмы молочных зубов
Травмы молочных зубов у детей – не редкость, в особенности у малышей в возрасте 1-3 лет. Своевременное обращение к детскому стоматологу в NikaDent и правильные действия в первые минуты после получения травмы позволяют сохранить зуб ребенка, дождаться его физиологической смены впоследствии.


