Как укрепить зубную эмаль?

Как укрепить зубную эмаль?

Многие задумываются над тем, как укрепить зубную эмаль, чтобы реже сталкиваться с кариесом и дольше сохранять зубы здоровыми. Эмаль — самая твердая ткань организма, но она не восстанавливается естественным путем. Однако современная стоматология имеет эффективные решения, которые помогают поддерживать ее прочность.

В этой статье эксперты NikaDent Family в Одессе объяснят, как образуется эмаль, от чего зависит ее состояние и какие методы восстановления эмали действительно работают.

Как образуется эмаль зубов

Чтобы понять, как укрепить эмаль зубов, стоит знать, как она формируется. Эмаль образуется в процессе амелогенеза — сложного этапа развития зубов, который начинается еще в утробе матери.

  • Молочные зубы закладываются примерно с 6-й недели беременности, а эмаль начинает минерализоваться с 14-й недели. К моменту прорезывания большая часть эмали уже сформирована.
  • Постоянные зубы (кроме резцов и первых моляров — они закладываются внутриутробно) начинают развиваться после рождения, и минерализация продолжается несколько лет, иногда до подросткового возраста.
После завершения амелогенеза эмаль больше не регенерирует. Поэтому важно знать, какие факторы могут ее ослабить, а какие — укрепить.

От чего зависит прочность эмали

Прочность эмали определяется множеством факторов, часть из которых мы контролировать не можем:

  • Генетика: наследственные особенности структуры зубов.
  • Влияние во время беременности: инфекции, дефицит витаминов или минералов у матери.
  • Системные заболевания ребенка: рахит, эндокринные нарушения.

Однако есть факторы, которые зависят от самого человека:

  • Качество гигиены полости рта.
  • Питание и употребление продуктов с кальцием и фтором.
  • Вредные привычки (курение, газированные напитки, частые перекусы).
Стоит сосредоточить усилия именно на тех факторах, на которые вы можете повлиять лично.

Беременность и эмаль зубов ребенка

К важнейшим факторам, влияющим на эмаль зубов плода во время беременности, относятся: достаточное количество кальция, фосфора и витамина D в рационе будущей матери, отсутствие токсикозов с длительной рвотой (способных нарушить минеральный обмен), а также отсутствие инфекционных заболеваний во втором триместре. Кроме того, прием некоторых лекарственных средств (например, тетрациклиновых антибиотиков) в период закладки эмали может приводить к ее стойким дефектам и изменению цвета.

Наиболее критичными для формирования эмали являются второй и третий триместры, когда происходит интенсивная минерализация. Именно в это время будущей матери следует особенно тщательно контролировать питание, избегать дефицита минералов и витаминов, своевременно лечить заболевания и заботиться о здоровье полости рта. Это напрямую влияет на то, насколько крепкими и устойчивыми к разрушению будут зубы ребенка после прорезывания.

Какие факторы могут повлиять на сформированную эмаль

Даже хорошо сформированная эмаль может повреждаться на протяжении жизни. На нее влияют:

  • Химические факторы: частое употребление кислых напитков (газированных, энергетиков, соков), цитрусовых в больших количествах.
  • Физические факторы: неправильная чистка зубов жесткими щетками или абразивными пастами, бруксизм (ночное скрежетание зубами).
  • Вредные привычки: привычка грызть ногти, предметы, открывать зубами упаковки.
  • Медицинские причины: гастроэзофагеальный рефлюкс, снижение слюноотделения из-за приема лекарств.
Эти факторы постепенно ослабляют защитный слой зубов, делая их уязвимыми к кариесу и повышенной чувствительности.

Методы укрепления и восстановления эмали

Современная стоматология располагает проверенными методами восстановления эмали, которые помогают сохранить зубы крепкими и здоровыми:

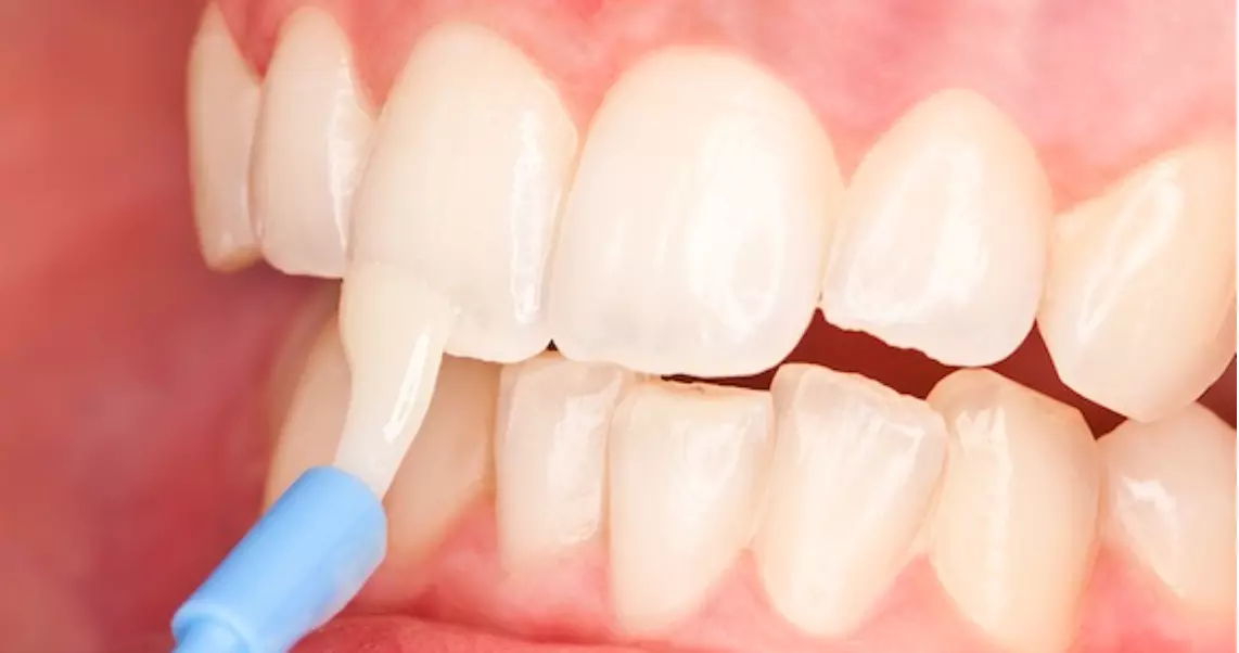
  • Реминерализирующая терапия. Применение гелей и лаков с кальцием, фтором и фосфатами. Они проникают в поверхностные слои эмали и укрепляют их.
  • Фторирование зубов. Один из наиболее изученных методов. Фтор повышает устойчивость эмали к кислотам, снижая риск кариеса.
  • Глубокое фторирование и озонирование. Используются в стоматологии для профилактики поражений эмали и повышения ее плотности.
  • Микроабразия эмали. Применяется для удаления поверхностных дефектов и пятен, после чего проводится реминерализация.
  • Сбалансированное питание. Продукты, богатые кальцием (молочные, орехи), витамином D (рыба, яйца), а также достаточное употребление воды.
  • Укрепить зубную эмаль в домашних условиях можно с помощью качественных паст с фтором, регулярного использования флосса, полосканий ополаскивателями, содержащими фтор.
Стоматологические методы обеспечивают наилучший результат, тогда как домашний уход поддерживает его ежедневно.

Реминерализация — не панацея!

Несмотря на то что современные методики позволяют частично влиять на прочность эмали, нужно понимать: у взрослого человека она уже сформирована и не способна полноценно восстанавливаться. Поэтому реминерализирующая терапия имеет скорее профилактический, чем восстановительный характер. Она помогает снизить чувствительность, замедлить процессы деминерализации и создать дополнительный защитный барьер, но не может «вырастить» новую эмаль.

Именно поэтому гораздо важнее устранение факторов, разрушающих зубы: регулярное употребление сладких или кислых напитков, вредные привычки, некачественная гигиена. Только изменив эти факторы, можно реально сохранить эмаль в хорошем состоянии.

Ключевую роль также играет профессиональная гигиена полости рта каждые 6 месяцев и ежедневный правильный уход дома. Комбинация этих подходов в сочетании с контролируемой реминерализирующей терапией позволяет максимально продлить жизнь зубов и снизить риск кариеса.

Как избежать кариеса и иметь крепкие зубы?

Крепкая эмаль — главный защитник от кариеса. Наиболее эффективный подход — сочетание профессиональных процедур и правильного домашнего ухода.

В клинике NikaDent Family в Одессе врачи проводят современное укрепление эмали в стоматологии с помощью фторирования и реминерализирующих методик, а также подбирают индивидуальные средства для ухода дома.

Запишитесь на консультацию уже сегодня, чтобы узнать, как укрепить зубную эмаль именно в вашем случае и предупредить кариес на ранних стадиях.
Есть вопрос?
RU

Записаться на прием

Мы перезвоним вам как можно скорее и подберем удобное время для визита в клинику.