Чому потрібно носити ритейнер після брекетів?

Чому потрібно носити ритейнер після брекетів?

Чому потрібно носити ритейнери

Багато пацієнтів вважають, що після зняття брекетів лікування завершене. Насправді це лише початок не менш важливого етапу — ретенції, тобто утримання результату. Саме ретейнери після брекетів допомагають закріпити результат та не допустити повернення зубів у попереднє положення.

Ортодонтичні дослідження підтверджують: без ретенції ризик рецидиву дуже високий. За даними міжнародних ортодонтичних асоціацій, у перші роки після лікування зуби мають природну тенденцію зміщуватися назад. Тому питання «що ставлять після брекетів?» має чітку відповідь — ретейнери.

Чому зуби можуть зміщуватися після лікування?

Під час носіння брекетів зуби переміщуються у нове положення. Але:

  • Кісткова тканина ще перебудовується.
  • Зв’язки, що утримують зуб, мають «пам’ять» попереднього положення.
  • Продовжується природний ріст і зміни щелеп.
Саме тому навіть ідеально вирівняні зуби можуть поступово знову стати нерівними. Дослідження показують, що найбільший ризик зміщення спостерігається у перші 1–2 роки після активного лікування.

Що ставлять після брекетів?

Після зняття брекетів ортодонт встановлює ретейнер після брекетів — спеціальний апарат для утримання зубів у правильному положенні.

Існують два основні типи:

1. Знімні ретейнери

Знімні ретейнери виглядають як прозорі капи або пластинки. Їх потрібно носити за рекомендацією лікаря — спочатку постійно, знімаючи лише під час їжі, а згодом переважно вночі.

Переваги:

  • Легко очищувати.
  • Можна зняти під час прийому їжі.
  • Комфортні у використанні.

Недолік — ефективність залежить від дисципліни пацієнта.

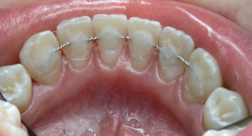
2. Незнімним ретейнером

Фіксований варіант — це тонкий дріт, який приклеюється з внутрішнього боку зубів. Такий спосіб утримання називають незнімним ретейнером.

Переваги:

  • Постійна дія.
  • Не залежить від пам’яті пацієнта.
  • Непомітний для оточуючих.

Водночас важливо ретельно дотримуватися гігієни, адже дріт ускладнює очищення зубів. Часто лікарі комбінують обидва методи для максимального збереження результату.

Скільки потрібно носити ретейнери?

Питання «скільки потрібно носити ретейнери?» є одним із найпоширеніших. Сучасні рекомендації ортодонтів базуються на довгострокових дослідженнях і свідчать: ретенція повинна тривати щонайменше кілька років, а в багатьох випадках — довічно.

Зазвичай схема виглядає так:

  • Перші 6–12 місяців — постійне носіння знімного апарата.
  • Далі — нічне носіння.
  • Фіксований варіант може залишатися на багато років.

Важливо розуміти: навіть у дорослому віці зуби здатні зміщуватися. Тому ретейнери після брекетів — це не тимчасова формальність, а інвестиція у стабільний результат.

Що буде, якщо не носити ретейнер після брекетів?

Знімні ритейнери

Відмова від ретенції може призвести до:

  • Повторної скученості.
  • Появи щілин.
  • Зміни прикусу.
  • Необхідності повторного лікування.

Дослідження показують, що навіть незначне зміщення у перші місяці може прогресувати. Повторне ортодонтичне лікування часто складніше і дорожче.

Чому ретенція — це частина доказового лікування?

Сучасна ортодонтія ґрунтується на принципах доказової медицини. Європейські та американські рекомендації однозначно підкреслюють: без ретенції неможливо гарантувати стабільність результату.

Правильно підібраний ретейнер після брекетів дозволяє:

  • Стабілізувати положення зубів.
  • Завершити перебудову кісткової тканини.
  • Зберегти естетичний результат.
  • Уникнути повторного лікування.

Ретенція — це не додатковий етап, а обов’язкова частина ортодонтичного протоколу.

Як правильно доглядати за ретейнерами?

Щоб результат лікування залишався стабільним:

  • Регулярно відвідуйте ортодонта.
  • Дотримуйтеся гігієни порожнини рота.
  • Не пропускайте нічне носіння знімних апаратів.
  • У разі пошкодження негайно звертайтеся до лікаря.
Контрольні огляди дозволяють вчасно помітити навіть мінімальні зміни.

Сучасна ортодонтія в Одесі — NikaDent Family

У стоматології в Одесі NikaDent Family застосовуються сучасні методики діагностики в ортодонтії, включаючи цифрове сканування та точний аналіз прикусу. Лікування проводиться відповідно до міжнародних доказових рекомендацій, що дозволяє досягати передбачуваних результатів.

Після завершення активного лікування ортодонт тривалий час надає підтримку пацієнту, контролює стан ретейнерів після брекетів та допомагає зберегти результат якнайкраще.

Запишіться на консультацію до NikaDent Family в Одесі, щоб отримати індивідуальний план ретенції та зберегти свою усмішку рівною на довгі роки.

Є питання?
UA

Записатися на прийом

Ми передзвонимо вам якнайшвидше і підберемо зручний час для візиту до клініки.